Dalmatiner Welpen - Trächtigkeit
Trächtigkeit
Nach einem wunderschönen gemeinsamen Spiel haben sich Sunny und Dexter das "Ja -Wort" gegeben !
Was passiert nun?-Wie geht es weiter?
Während der ersten 4 Tage nach der Paarung teilt sich die befruchtete Eizelle in zwei Zellen.Nach fünf Tagen sind es vier,nach sechs Tagen sind es acht Zellen.Nach dem achten oder neunten Tag hat sich eine vielzellige Morula gebildet,die den Eileiter hinunter zur Gebärmutter wandert.Nach dem 15.Tag der Schwangerschaft verwandelt sich die Morula beim Eintreffen in der Gebärmutter in die Blastula und nistet sich in der Gebärmutterschleimhaut ein.Das ist etwa am 18-21 Tag nach der Befruchtung abgeschlossen,damit beginnt die eigentliche Trächtigkeit.
Mit der Einnistung in der Gebärmutter hat die Blastula direkten Anschluß an den mütterlichen Blutkreislauf und ist auch mit Blase und Darm verbunden.
In den paarigen Uterushörnern liegen nach der Einnistung die Embryonen einer neben dem anderen.Im Frühstadiumder Tragezeit ähnelt die Gebärmutter einer Perlenkette,die Embryonen liegen in ihren einzelnen Fruchtkammern getrennt.
Nach drei Wochen hat sich das zentrale Nervensystem der Welpen entwickelt.
Während der folgenden Woche beginnen sich Gehirn und Rückenmark auszubilden.Während der vierten Woche findet die Geschlechtsbestimmung statt und die Augen der Welpen beginnen sich zu entwickeln.
Uns Sunny ?-Wie geht es ihr??--Sunny sieht super aus --sie strotzt vor Gesundheit ;ihr Fell glänzt wie Samt und Seide ; die schwarzen Tupfen stechen tiefschwarz heraus !Sie grinst immer wieder und freut sich!!
Da muss doch schon etwas zu sehen sein !!!--Weit gefehlt --wir können einiges erahnen --aber sehen --nein.
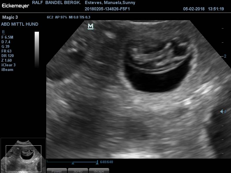
Am 05.02. wissen wir mehr --dann fahren wir zum Ultraschall !!!
Heute waren wir beim Ultraschall !!!--Und ja im Stehen wird geschaut und sofort werden wir fündig !!--Juhuhuhu !!!--Wie schön!!!Jedesmal ein kleines Wunder!!!-Dann schauen wir uns eine Frucht noch genau an und können Kopf ;Beinchen und sogar den Herzschlag sehen --wahnsinn !!!Einfach genial !! Total happy --als würde ich selber Mutter fahren wir wieder nach Hause.Danke Sunny und Dexter!!Wunderschön!!!
35.Tag der Trächtigkeit
Sunny geht es hervorragend !!!
Am 30.Tag der Trächtigkeit sind die Früchte circa 1,6-2,1cm groß und Augenlider,Ohrmuscheln und Lippen entwickeln sich.Ab 40.Tag bei einer Größe von 3,8-4,2 cm entwickeln sich die Krallen.
42.Tag der Trächtigkeit und Sunny`s Bäuchlein wächst!!!Ihr geht es fantastisch und sie läßt es sich gut gehen und von allen Seiten verwöhnen!!!
Sunnys Bauch wächst und wächst!Sie genießt die Sonne und kuschelt immer mehr!
50.Tag der Trächtigkeit
Ab 50 Tag --die Welpen haben circa eine Größe von 11,7 bis 12,2 cm.Die Behaarung beginnt zu wachsen und die Organanlage ist nahezu abgeschlossen.


